Acid Erosion On Your Teeth

Teeth are tough due to the tooth enamel, which is the hardest substance of the body structure. It consists of 96% of minerals. It is, however, not invincible. Frequent exposure of tooth enamel to acids can weaken its structure. If not addressed on time, this weakening can lead to erosion, which can result in several other dental problems.
Good thing is that you can keep your tooth enamel strong and healthy by getting a fundamental understanding of dental erosion. A dental professional may be the right professional to help you in this regard.
What is dental erosion?
Your enamel is a fundamental player in your dental and oral health. It protects sensitive inner layers of your teeth from decay, extreme temperatures, and chemicals. Dental erosion occurs when acids interact with the tooth enamel regularly and cause it to wear away. Your body cannot repair tooth enamel because it doesn’t have any living cells. Therefore, you have to make sure to protect it from acid erosion.
Symptoms of acid erosion

Acid erosion can make you feel its existence through various means. If you notice any of these symptoms, contact your dentist immediately to prevent further damage.
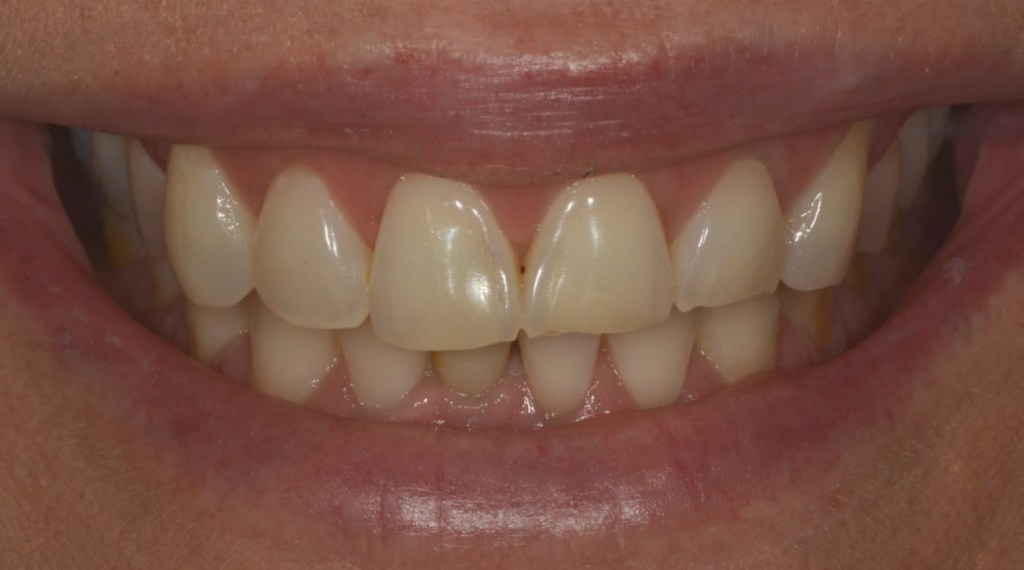
- The first sign to note is the tooth discoloration. The healthy tooth looks white. The color of the inner layer, called dentin, is yellow. When the tooth enamel wears away significantly, the color of the inner layer becomes more prominent, causing the tooth to look yellow.
- If you think that your tooth is looking thinner than it used to be, it may be a sign of acid erosion. It can also cause the lower portion of the teeth to look more transparent than opaque. These are all signs of dental erosion.
- With worn down enamel, your teeth tend to be more sensitive to hot and cold temperatures. It can result in sharp and shooting pain when you eat or drink hot or cold foods.
Dental erosion puts you at the risk of other dental problems such as cavities and abscesses. It can also lead to tooth loss.
What causes acid erosion?
Erosion on teeth can be of two types – extrinsic and intrinsic. Extrinsic erosion refers to the lower pH level of the mouth due to dietary choices. For instance, people who consume soda too much are at a higher risk of acid erosion on their teeth. The type of erosion they get is extrinsic.
Intrinsic erosion, on the other hand, occurs as a result of an acidic stomach. People who experience frequent vomiting are at a higher risk of intrinsic dental erosion. Another condition that can cause this erosion is gastroesophageal acid reflux disease (GERD).
Preventing acid erosion
- The first thing that you need to do to prevent this erosion is to limit the consumption of acidic foods. If you are drinking acidic beverages, be sure to use a straw to avoid the liquid from coming into contact with your teeth.
- Make sure to rinse your mouth thoroughly after every snack and meal. You also have to swish water in your mouth after vomiting to rinse away the acid.
- Brush your teeth a few moments after having acidic foods. Acid can soften your tooth enamel. So brushing in such a situation can cause the enamel to wear away.
If you think that your teeth are vulnerable to erosion, be sure to consult your dentist as soon as you can.